Información para Médicos

  

   Imágenes

 

 

 

 Salida de los cables de los electrodos profundos intracerebrales en la región temporo-occipital izquierda para monitorización a través de estéreoEEG.

 

 

IRM T1 sagital: electrodos intracerebrales profundos en la región temporo-occipital izquierda (mismo caso).

 

 

IRM T1 coronal: secuelas de empiema secundario a implantación de electrodo intracerebral profundo.

 

 

EstéreoEEG: monitorización del inicio de descarga ictal con el uso de electrodos profundos intracerebrales  (región temporo-occipital izquierda) (mismo caso).

 

 

EstéreoEEG: arrastre fótico detectado con electrodos intracerebrales profundos en región temporo-occipital izquierda (mismo caso).

 

 

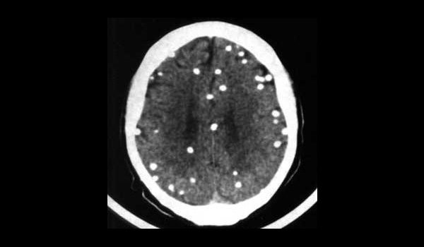
TAC cráneo simple: Neurocisticercosis intraparenquimatosa calcificada.

 

 

Fusion de imágenes: SPECT interictal (arriba): hipocaptación del radiofármaco. SPECT ictal (en medio): hipercaptación del radiofármaco. IRM/SPECT –axial, coronal, sagital-(fusión de imágenes –sustracción-) localización del foco epileptógeno en la región mesial temporal derecha.

 

 

Fusión de SPECT interictal/ictal: diferencia de imagen positiva: foco epileptógeno en polo temporal izquierdo.

 

 

Fusión de imágenes: IRM T1 axial (izquierda), PET interictal -hipometabolismo parietal posterior izquierdo- (en medio), fusión IRM/PET: localización de foco epileptógeno parietal posterior izquierdo (derecha).

 

 

EEG montaje doble banana: ondas agudas en cancelación de fase en región fronto-temporal derecha.