Información para Médicos

  

   Imágenes

 

 

 

EEG montaje doble banana: ondas agudas en cancelación de fase en la región fronto-temporal izquierda secundaria a malformación arteriovenosa (mismo caso).

 

 

TAC cráneo simple: hemorragia intraparenquimatosa secundaria a metastásis de carcinoma pulmonar (paciente con crisis parciales secundariamente generalizadas).

 

 

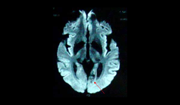
IRM difusión axial: malformación arteriovenosa en el giro fusiforme izquierdo.