Información para Médicos

  

   Imágenes

 

 

 

IRM T1 axial: Síndrome de Leucoencefalopatía posterior reversible (PRES) secundário a crisis hipertensiva por ergotismo (paciente con cefalea, crisis convulsivas y síndrome de Balint) (mismo caso 1 mes después: atrofia de la región occipital bilateral secuela de la hipoperfusión previa).

 

 

IRM FLAIR coronal: angioma venoso temporal izquierdo.

 

 

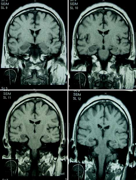
IRM T1 coronal: Encefalitis límbica: hipointensidad amígdalo-hipocampal bilateral de predominio derecho.

 

 

IRM T2 coronal: Encefalitis límbica: hiperintensidad amígdalo-hipocampal bilateral de predominio derecho (mismo caso).

 

 

IRM T2 FLAIR: Encefalitis límbica: hiperintensidad amígdalo-hipocampal bilateral de predominio derecho (mismo caso).

 

 

IRM T2 (izquierda) y FLAIR (derecha) axial: Encefalitis límbica: hiperintensidad amígdalo-hipocampal bilateral (mismo caso un mes después).

 

 

IRM T2 coronal: Encefalitis límbica: hiperintensidad hipocampal bilateral (mismo caso un mes después).

 

 

IRM espectrosocopía: Encefalitis límbica: disminución de los picos de creatina, colina y NAA en el hipocampo izquierdo (mismo caso).

 

 

IRM T2 coronal y axial (izquierda) y fusión PET/IRM (en medio), PET (derecha): Encefalitis límibica: hiperintensidad e hipermetabolismo a nivel del uncus bilateral (mismo caso).

 

 

Fusión PET/IRM (izquierda)  e IRM FLAIR (derecha) axiales: Encefalitis límbica: hipermetabolismo e hiperintensidad hipocampal bilateral (mismo caso).